Porcelain Veneers in Ridgeland
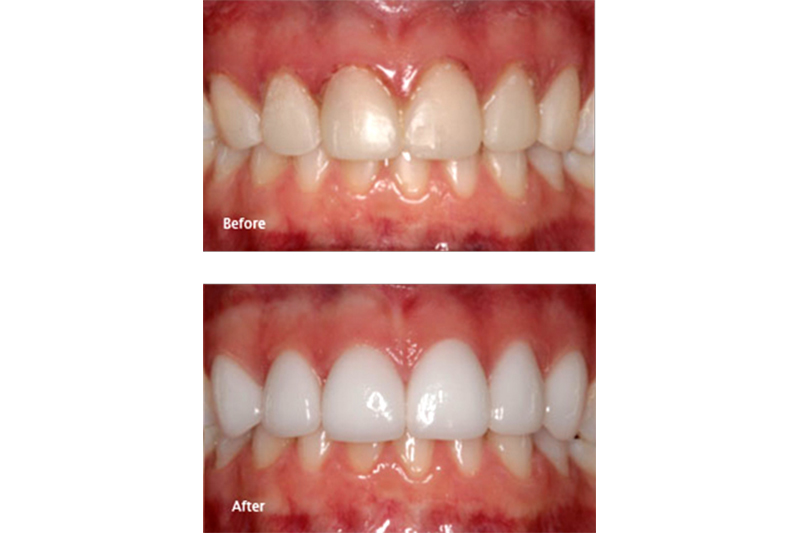
Porcelain veneers are a popular cosmetic solution for transforming the look of your smile. At Vanderpool Family Dentistry, we use high-quality, custom-crafted veneers to help correct imperfections and create a bright, balanced, natural-looking appearance.
A Simple Way to Elevate Your Smile
Veneers are ultra-thin, durable shells that are bonded to the front of your teeth. They’re an excellent option for enhancing your smile if you have teeth that are chipped, discolored, unevenly spaced, or slightly misshapen.
Why Choose Porcelain Veneers?
Porcelain veneers may be an ideal choice for you for a number of reasons, from their polished appearance to their durability and more. You may want to choose porcelain veneers because of their:
- Natural look and feel
- Custom color and shape to match your smile
- Long-lasting and stain-resistant qualities
- Minimally invasive placement
- Ability to instantly boost your confidence
We work with you to choose the ideal shade and contour, ensuring your veneers complement your features and feel comfortable from day one.
Designed Just for You
Your veneers will be custom-designed for your goals and preferences. From consultation to final placement, our team ensures every detail aligns with the results you envision.
Let’s Create the Smile You Want
Interested in learning how veneers could enhance your smile? Contact Vanderpool Family Dentistry at 843-898-6800 to schedule your consultation. We’re here to help you smile with confidence.
