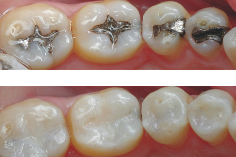
Composite Bonded Fillings in Ridgeland
At Vanderpool Family Dentistry, we use tooth-colored, bonded composite resin materials in all our fillings. Whether you have a cavity, broken amalgam filling, or a chipped tooth, you can count on our esthetic metal free restorations matching the shade of your natural teeth. Using a white filling material is not just about esthetics; it is also about conserving your tooth structure. Because these “white fillings” are bonded to the tooth surface, less removal of tooth structure is needed to place them, which results in stronger teeth and less sensitivity. These aesthetic restorations help to provide good durability and prevent further damage. Tooth colored fillings are mercury free, and once applied to the tooth, are virtually unnoticeable.
